Tooth Pain Treatment Near Me in San Antonio, TX
A vibrant, pain-free smile is the cornerstone of confidence and well-being. When tooth pain disrupts this, it impacts more than just your oral health; it affects your daily life and overall happiness. Addressing tooth pain promptly and effectively is essential for restoring your comfort and preserving the beauty of your smile. A skilled dentist can …
Read More
Emergency Dental Appointments Near Me in San Antonio, TX
Emergency Dental Appointments Near Me When you’re in pain or facing a dental emergency, your comfort matters more than ever. Whether it’s unexpected discomfort or a sudden injury, it helps to know there’s a dental practice nearby that is ready to welcome you with comprehensive and compassionate care. From the moment you call to the …
Read More
Best Emergency Dentist Near Me in San Antonio, TX
Best Emergency Dentist Near Me When something unexpected happens to your smile, finding the best emergency dentist near you can make all the difference. A dental emergency doesn’t just affect your teeth—it can impact your comfort, your confidence, and your ability to go about your day. Quick, reliable care helps restore your smile and your …
Read More
Best Emergency Dentist in San Antonio, TX
Best Emergency Dentist When something unexpected happens to your teeth or gums, knowing where to turn makes all the difference. The best emergency dentist is someone who can help you feel calm, cared for, and confident—even in a stressful situation. Acting quickly and getting the right care can help preserve your smile and relieve discomfort …
Read More
Emergency Tooth Extraction in San Antonio
Emergency Tooth Extraction We like to preserve our natural teeth for as long as we live but sometimes emergencies happen and compel us to consider extractions. An emergency tooth extraction procedure may be simple or advanced depending on the cause of the extraction. For example, if you are extracting a tooth that is stuck under …
Read More
Wisdom Teeth Removal in San Antonio
Wisdom Teeth Removal Wisdom teeth grow at the back of your gums. Most people have 4 wisdom teeth. Sometimes they don’t cause any problems but other times they don’t erupt fully and so they get stuck under the gums. These are known as impacted wisdom teeth. When to seek emergency wisdom teeth removal Seek an …
Read More
Tooth Pain or Toothache Treatment in San Antonio
Tooth Pain or Toothache Treatment Tooth pain or toothache comes in different forms. Sometimes you experience a sudden pain, or the pain may come and go at different times. All the same, toothache makes you uncomfortable. Most of the time, it signifies a dental problem. It is therefore important to inform your dentist about your tooth …
Read More
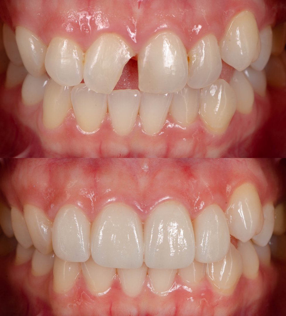
Fractured Tooth Treatment in San Antonio
Fractured Tooth Treatment You may crack your tooth from a dental injury, biting hard food, normal wear and tear, or dental habits such as teeth grinding. A crack may be noticeable or hidden. It’s best to visit your dentist if you suspect that your tooth has a crack. A fractured tooth requires an emergency appointment. …
Read More
Emergency Tooth Extraction in San Antonio
Emergency Tooth Extraction Your dentist will recommend an emergency tooth extraction in these situations: Unexplained severe toothache Most of the time, unexplained toothache comes from a failed procedure or failure to complete a procedure. For example, if you delay a restoration procedure after dental work, it can result in severe pain that can’t be managed …
Read More
Emergency Dentist Now Open in San Antonio
Emergency dentists are trained to fix dental issues quickly and efficiently. At our practice, we are committed to offering quick, effective, and long-lasting solutions to various dental emergencies. Our skilled emergency dentists are to care for your needs. Call Us Today! Who is an Emergency Dentist? An emergency dentist is a dental professional who treats …
Read More